| 上一篇主題 :: 下一篇主題 |
| 發表人 |
內容 |
admin 站內新聞發佈 重 車 太 子


註冊時間: 2004-08-10 文章: 3637
|
發表於: 星期五 九月 01, 2017 9:40 am 文章主題: [意外消息]Rossi傳稍早摔車骨折 |
|
|
這是剛剛傳來的意外消息
MotoGP前世界冠軍車手46 Valentino Rossi
稍早前在義大利Tavullia做賽前例行騎乘訓練時
不幸因為摔車造成右腿脛骨和腓骨骨折意外
目前緊急送往Ospedale Civile di Urbino醫院手術
希望這位38歲的傳奇車手能安然無事.
---------
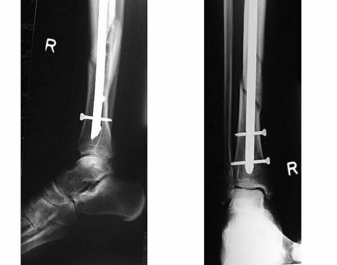
9/1 pm 20:00更新
MotoGP山葉車手46-Rossi
今天在義大利Tavullia練車發生意外
摔車造成右腿脛骨和腓骨骨折
這是當地Ospedale Civile di Urbino醫院
傳來的術後X光照片.醫生表示手術非常成功
依照目前的傷勢.至少需要40天的靜養.短期將無法參賽
但對車迷而言這並不重要.只期待他能好好養傷.
--------
9/2 AM:8:00更新
在進行完右腿脛骨和腓骨的固定手術後.
Rossi被推出手術室.雖然身痛在身.依舊帶著樂觀的笑容
回到病房後他在個人專頁寫下一段字給他的車迷們
JE SUIS DÉSOLÉ, JE SERAI BIENTÔT DE RETOUR
對不起.讓大家擔心了.我很快就會回來.
--------
9/2 PM 21:00更新
手術順利.主治醫生讓Rossi回家休養. |
|
| 回頂端 |
|
 |
大眼睛56番
150cc級騎士 (普通重型)


註冊時間: 2014-03-16 文章: 231
|
發表於: 星期五 九月 01, 2017 9:44 am 文章主題: |
|
|
 |
|
| 回頂端 |
|
 |
thenumbers 深圳的三口之家 1300cc級騎士 (大型重型)


註冊時間: 2005-01-17 文章: 1471 居住地: 台北 <->深圳
|
發表於: 星期五 九月 01, 2017 10:20 am 文章主題: |
|
|
人應該能復原,但是今年剩下的賽事恐怕....
身為GP迷,真得很不希望看到Rossi今年是這樣結束比賽的
會不會就此退休?讓我們繼續看下去 _________________
 |
|
| 回頂端 |
|
 |
追風男
教 授 級


註冊時間: 2007-07-26 文章: 15964 居住地: 雙重標準的 佛魔沙
|
發表於: 星期五 九月 01, 2017 10:20 am 文章主題: |
|
|
| 如果 沒有 ROSSI 的motogp 今年就算拿了金牌 各車手也不會真的開心的 |
|
| 回頂端 |
|
 |
muimui engineer 重 車 車 神

註冊時間: 2005-08-04 文章: 2319 居住地: RD
|
發表於: 星期五 九月 01, 2017 11:09 am 文章主題: |
|
|
增添一些變數 , 值得期待 , 快快康復。 _________________ 苦幹實幹 撤職查辦 東混西混 一帆風順 |
|
| 回頂端 |
|
 |
taipei101
重 車 至 尊


註冊時間: 2005-10-12 文章: 7564
|
發表於: 星期五 九月 01, 2017 11:55 am 文章主題: |
|
|
10次冠軍希望越來越渺茫! |
|
| 回頂端 |
|
 |
disciple 亮哥 重 車 達 人

註冊時間: 2016-12-20 文章: 3368
|
發表於: 星期五 九月 01, 2017 12:38 pm 文章主題: |
|
|
車手都沒有穿空氣防摔衣? _________________ 騎帥不騎快,騎快會 Good Bye |
|
| 回頂端 |
|
 |
pain_tim
600cc級騎士 (大型重型)


註冊時間: 2008-12-29 文章: 688
|
發表於: 星期五 九月 01, 2017 2:06 pm 文章主題: |
|
|
| 老實說,近幾年看Rossi的比賽,真的很折磨人,畢竟年紀大了,看他的標準應該要放低一點了... |
|
| 回頂端 |
|
 |
520025
笑 傲 車 壇


註冊時間: 2007-02-03 文章: 9533 居住地: 天地之際 山海之間
|
發表於: 星期五 九月 01, 2017 6:13 pm 文章主題: |
|
|
| disciple 寫到: |
| 車手都沒有穿空氣防摔衣? |
他受傷的地方 是 {小腿} |
|
| 回頂端 |
|
 |
taipei101
重 車 至 尊


註冊時間: 2005-10-12 文章: 7564
|
發表於: 星期五 九月 01, 2017 9:24 pm 文章主題: |
|
|
| pain_tim 寫到: |
| 老實說,近幾年看Rossi的比賽,真的很折磨人,畢竟年紀大了,看他的標準應該要放低一點了... |
不會啊!就是看猴王年紀大了還能力殺四方,獨戰群雄才刺激啊!
祝福他早日康復,但今年的比賽的精彩度要稍微遜色了!
taipei101 在 星期六 九月 02, 2017 12:02 pm 作了第 1 次修改 |
|
| 回頂端 |
|
 |
絕影 日本有本田宗一郎 台灣有單肛小綿羊 雄 霸 車 壇


註冊時間: 2010-01-03 文章: 6877 居住地: 鬼島之永和
|
發表於: 星期五 九月 01, 2017 9:30 pm 文章主題: |
|
|
| 追風男 寫到: |
| 如果 沒有 ROSSI 的motogp 今年就算拿了金牌 各車手也不會真的開心的 |
同意 _________________
 |
|
| 回頂端 |
|
 |
520025
笑 傲 車 壇


註冊時間: 2007-02-03 文章: 9533 居住地: 天地之際 山海之間
|
發表於: 星期五 九月 01, 2017 10:44 pm 文章主題: |
|
|
好好休息
MOTO GP 又不是明年就不辦了 |
|
| 回頂端 |
|
 |
reterjang 阿宗 亞 洲 車 神


註冊時間: 2004-12-29 文章: 2858 居住地: 台中,后里
|
發表於: 星期六 九月 02, 2017 8:57 am 文章主題: |
|
|
| 追風男 寫到: |
| 如果 沒有 ROSSI 的motogp 今年就算拿了金牌 各車手也不會真的開心的 |
不管誰拿下總冠軍,都是努力了一整個賽季
一場一場累積下來的,沒有人是僥倖得來的。
Rossi都已經幾年沒有拿過冠軍了~
他以前的確很厲害,但是那已經是過去式,
每年每場比賽主播老是Rossi來Rossi去的,
好像只要有他在場上其他人就不該拿冠軍,
那就每年賽季一開始先頒年度總冠軍給他大家
再來拼第二名就好了呀~大家還拼個鬼?
這種只有Rossi奪冠才被當作正常的Moto GP,
光看了就煩! 所以MOTO GP轉播已經2-3年不看了。 |
|
| 回頂端 |
|
 |
dallasoriginal
笑 傲 車 壇


註冊時間: 2007-11-15 文章: 9431 居住地: 熱情南台灣
|
發表於: 星期六 九月 02, 2017 11:24 am 文章主題: |
|
|
提到籃球 世上最多人想到的就是 M J
提到流行界永遠天王 世上最多人想到的就是 M J
提到F1 世上最多人想到的就是M S
那提到Motogp 呢? V R !!!!!!!!!!!!!! _________________ DEnnis 阿峻 |
|
| 回頂端 |
|
 |
taipei101
重 車 至 尊


註冊時間: 2005-10-12 文章: 7564
|
發表於: 星期六 九月 02, 2017 12:05 pm 文章主題: |
|
|
| reterjang 寫到: |
不管誰拿下總冠軍,都是努力了一整個賽季
一場一場累積下來的,沒有人是僥倖得來的。
Rossi都已經幾年沒有拿過冠軍了~
他以前的確很厲害,但是那已經是過去式,
每年每場比賽主播老是Rossi來Rossi去的,
好像只要有他在場上其他人就不該拿冠軍,
那就每年賽季一開始先頒年度總冠軍給他大家
再來拼第二名就好了呀~大家還拼個鬼?
這種只有Rossi奪冠才被當作正常的Moto GP,
光看了就煩! 所以MOTO GP轉播已經2-3年不看了。 |
http://motocity.com.tw/gp1/viewtopic.php?t=189594&highlight=
| reterjang 寫到: |
Ducati也滿奇怪~
在賽後訪問問到L99,他說很早就想進Pit 換車,可是Pit區還沒有把車準備好,
後來通知車手進Pit換車後,結果發現車還沒完全準備好....  |
不知道2017年的捷克站算不算? |
|
| 回頂端 |
|
 |
|